Camino Dorado #18, Planta alta; Fracc. Camino Real, Cándiles, Corregidora, Querétaro.
Made with Xara
Odontología Pediátrica
El odontopediatra será, el encargado de
explorar, diagnósticar y tratar al paciente
infantil. También se encarga de detectar
posibles anomalías en la posición de los
maxilares o dientes y de realizar un
tratamiento en caso de ser necesario.
La principal diferencia entre la odontología
habitual y la odontopediatría en el
tratamiento de caries es la presencia de los
dientes temporales (dientes de leche) lo
cual hace que el tratamiento cambie en los
niños, de tal forma que las lesiones
ocurridas en la dentición temporal se
tratarán de una manera completamente
diferente a los dientes permanentes de los
adultos, evitando así un tratamiento
inadecuado en un diente temporal que
luego repercutirá en su sucesor.
Odontología Integral
Por que creemos en la prevención,
fomentamos el cuidado y la higiene dental
tomando en cuenta las habilidades de cada
uno de nuestros pacientes, OK&F te ofrece
un programa personalizado, necesario para
adoptar medidas destinadas a mejorar la
salud bucal y así evitar problemas dentales
futuros.
Por otro lado, si ya presentas problemas de
salud bucal, te ofrecemos los tratamientos
adecuados para llevarte a un estado de
salud óptimo, utilizando siempre materiales
de la más alta calidad.
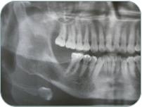
Patología Bucal
Se encarga de la identificación y
tratamiento de las alteraciones y
enfermedades localizadas en la cavidad
oral comprendiendo todas las estructuras
que lo conforman. La patología bucal
estudia las causas, procesos y efectos de
las enfermedades que aquejan al complejo
oral y maxilofacial; incluye la investigación
y diagnóstico usando exámenes clínicos,
radiográficos, microscópicos, así como el
manejo de la enfermedad.